- HOME
- NEWS
- POLITICS
- SPORTS
- CINEMA
- CHANNEL
- MONEY
- RELIGION
- INTERVIEW
- SCITECH
- OPINION
- FEATURE
- MORE
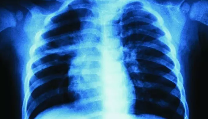
ബൈക്കില് കാറിടിച്ച് പരിക്കേറ്റു; ഇടത് നെഞ്ചില് വേദനയുണ്ടെന്ന് യുവാവ്; എക്സ്റെയെടുത്തത് വലത് ഭാഗത്ത്; കുഴപ്പമൊന്നുമില്ലെന്ന് ഡോക്ടര്; ആലപ്പുഴ മെഡിക്കല് കോളജിലും ചികിത്സാപ്പിഴവ്

അമ്പലപ്പുഴ: ആലപ്പുഴ മെഡിക്കല് കോളജിലും ചികിത്സാപ്പിഴവ് ഉണ്ടായതായി പരാതി. വാഹനാപകടത്തില് പരിക്കേറ്റ് ആലപ്പുഴ മെഡിക്കല് കോളജ് ആശുപത്രിയിലെത്തിച്ച യുവാവിന്റെ ഇടത് നെഞ്ചിന് പകരം വലതു നെഞ്ചിന്റെ എക്സ്റേ എടുത്തെന്നാണ് പരാതി. എക്സ്റേ പരിശോധിച്ച ഡോക്ടര് കുഴപ്പമില്ലെന്ന് അറിയിക്കുകയും ചെയ്തു.
പായല്ക്കുളങ്ങരയില് വെച്ച് ബൈക്കില് കാറിടിച്ചാണ് യുവാവിന് പരിക്കേറ്റത്. നെഞ്ചിനും കാലിനും പരിക്കേറ്റ യുവാവിനെ നാട്ടുകാര് മെഡിക്കല് കോളജ് ആശുപത്രിയിലെത്തിച്ചു. ഇടത് നെഞ്ചില് വേദനയുണ്ടെന്ന് അറിയിച്ചതിനെത്തുടര്ന്നാണ് ഡോക്ടര് എക്സ്റേ എടുക്കാന് നിര്ദേശിച്ചത്. എന്നാല്, എക്സ്റേ എടുത്തത് വലതു നെഞ്ചിന്റേതായിരുന്നു. പരിശോധനയില് കുഴപ്പമൊന്നുമില്ലെന്ന് ഡോക്ടര് അറിയിക്കുകയും ചെയ്ത് കയ്യൊഴിഞ്ഞു.
വേദന അസഹനീയമായതിനെത്തുടര്ന്ന് യുവാവിനെ തിരുവല്ലയിലെ സ്വകാര്യ ആശുപത്രിയിലേക്ക് മാറ്റി. ഇവിടെ നടത്തിയ പരിശോധനയിലാണ് എക്സ്റേ മാറിയ വിവരം തിരിച്ചറിഞ്ഞതും ഇടത് നെഞ്ചില് നീര്ക്കെട്ടുള്ളതായി കണ്ടെത്തിയതും. കാലിന് ഗുരുതരമായി പരിക്കേറ്റ യുവാവിനെ പിന്നീട് അടിയന്തിര ശസ്ത്രക്രിയയ്ക്ക് വിധേയനാക്കി.


